$78.98 Exam & 4 X-rays – NEW PATIENTS
(954) 659-9669
Family Cosmetic Dentistry Logo - Dentist in Weston FL
  • Home
  • About Us
    • Meet our Team
    • Meet Dr Ramos
  • Services
    • Emergency Dentist
    • Cosmetics
      • Teeth Whitening
      • Porcelain Veneers
      • Cosmetic Bonding
    • Restorations
      • Dental Fillings
      • Crowns & Bridges
      • Dental Implants
    • Preventive
      • Oral Evaluations
      • Checkups & X-rays
      • Dental Sealants
    • Periodontics
      • Gum Disease
      • Deep Cleaning
    • Endodontist
    • Orthodontics
  • Patients
    • Dental Plan
    • Patient Forms
    • Dental Blog
  • Contact Us
  • Home
  • About Us
    • Meet our Team
    • Meet Dr Ramos
  • Services
    • Emergency Dentist
    • Cosmetics
      • Teeth Whitening
      • Porcelain Veneers
      • Cosmetic Bonding
    • Restorations
      • Dental Fillings
      • Crowns & Bridges
      • Dental Implants
    • Preventive
      • Oral Evaluations
      • Checkups & X-rays
      • Dental Sealants
    • Periodontics
      • Gum Disease
      • Deep Cleaning
    • Endodontist
    • Orthodontics
  • Patients
    • Dental Plan
    • Patient Forms
    • Dental Blog
  • Contact Us

Book Now

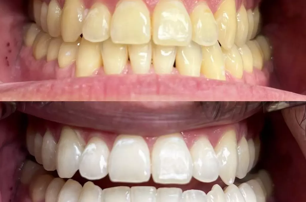
Can teeth whitening cause permanent sensitivity?

Can teeth whitening cause permanent sensitivity?

by Family Cosmetic Dentistry | Apr 10, 2023 | Blog, Cosmetic Dentistry, Teeth Whitening

Can teeth whitening cause permanent sensitivity? Home • Teeth Bleaching Are you getting tired of your yellow teeth? If so, you might be considering a teeth whitening treatment. But before you head to the drugstore and pick up a box of over-the-counter strips or...

Address

16618 Saddle Club Rd, Weston, FL 33326

Phone Number

(954) 659-9669

Open Mon – Thu

8:30 AM – 6:30 PM

Schedule your visit

Services



Emergencies



Smile Makeover



Veneers



Extractions

About Us



Dental Team



Meet Dr Ramos



Testimonials



Gallery

Patient Info



Forms



Insurances



Payment Info



Dental Plan

  • Follow
  • Follow
  • Follow
  • Follow
  • Follow
  • Follow
  • Follow
© Copyright 2026 | Family Cosmetic Dentistry Weston, FL | All Rights Reserved

Privacy Policy | Terms and Conditions | Designed by ITNRD